<img height="1" width="1" style="display:none" src="https://www.facebook.com/tr?id=996698094425917&amp;ev=PageView&amp;noscript=1">
Vivi mas saludable

¿Qué son las cataratas y cómo se tratan?

San José, Costa Rica. Mayo, 2019.
Leer Artículo
Logo Clínica Bíblica Circular Clínica Bíblica 10/05/2019
¿Qué son las cataratas y cómo se tratan?
Vivi mas saludable

¿Qué es el glaucoma y cómo se trata?

San José, Costa Rica. Mayo, 2019.
Leer Artículo
Logo Clínica Bíblica Circular Clínica Bíblica 10/05/2019
¿Qué es el glaucoma y cómo se trata?
Vivi mas saludable

El sodio en la alimentación y su repercusión en la salud

San José, Costa Rica. Marzo, 2019.
Leer Artículo
Logo Clínica Bíblica Circular Clínica Bíblica 08/03/2019
El sodio en la alimentación y su repercusión en la salud
Vivi mas saludable

¿Qué hacer en caso de una convulsión o ataque epiléptico?

San José, Costa Rica. Febrero, 2019.
Leer Artículo
Logo Clínica Bíblica Circular Clínica Bíblica 20/02/2019
¿Qué hacer en caso de una convulsión o ataque epiléptico?
Vivi mas saludable

Le contamos la importancia de realizarse una mamografía a tiempo

Cuide cada parte de su cuerpo como se lo merece
Leer Artículo
Logo Clínica Bíblica Circular Clínica Bíblica 18/02/2019
Le contamos la importancia de realizarse una mamografía a tiempo
Vivi mas saludable

Tips para no sabotear la dieta en Navidad

San José, Costa Rica. Diciembre, 2018.
Leer Artículo
Logo Clínica Bíblica Circular Clínica Bíblica 06/12/2018
Tips para no sabotear la dieta en Navidad
Vivi mas saludable

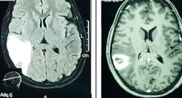
Trombosis de senos venosos durales: análisis clínico y neuroradiológico de 10 casos consecutivos en el Hospital México entre enero y diciembre del 2013.

La trombosis de senos venosos durales (TSVD) es una emergencia neurológica poco común y potencialmente mortal. Su incidencia anual se estima...
Leer Artículo
Logo Clínica Bíblica Circular Clínica Bíblica 04/12/2018
Trombosis de senos venosos durales: análisis clínico y neuroradiológico de 10 casos consecutivos en el Hospital México entre enero y diciembre del 2013.
Vivi mas saludable

El virus sincitial: más allá de un simple resfrío o gripe

San José, Costa Rica. Julio, 2017.
Leer Artículo
Logo Clínica Bíblica Circular Clínica Bíblica 15/11/2018
El virus sincitial: más allá de un simple resfrío o gripe

Últimos blog publicados

Suscribite a nuestro

Newsletter

Circulo grande Circulo pequeño Linea punteada Ilustración artística de una persona sentada leyendo un libro en tonos azules.

Mostrando resultados para: guia-de-soluciones-de-salud

whatsapp