<img height="1" width="1" style="display:none" src="https://www.facebook.com/tr?id=996698094425917&amp;ev=PageView&amp;noscript=1">
Vivi mas saludable

La sífilis es una enfermedad silenciosa que puede traer graves problemas

Es fácil de curar con el tratamiento adecuado San José, Costa Rica. Diciembre, 2014. La sífilis es una enfermedad de transmisión sexual que ...
Leer Artículo
Logo Clínica Bíblica Circular Clínica Bíblica 03/12/2014
La sífilis es una enfermedad silenciosa que puede traer graves problemas
Vivi mas saludable

Hospital Clínica Bíblica recomienda vacunación ante pico de casos de influenza

Vacuna tendrá precio especial por tiempo limitado San José, Costa Rica. Noviembre, 2014. Con los cambios de temperatura, las consultas en ur...
Leer Artículo
Logo Clínica Bíblica Circular Clínica Bíblica 02/12/2014
Hospital Clínica Bíblica recomienda vacunación ante pico de casos de influenza
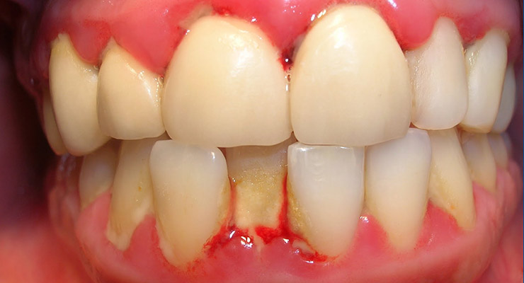
Vivi mas saludable

Evite la gingivitis con buenos hábitos de limpieza dental

Si nota sangrado en sus encías consulte a su doctor La segunda razón más importante es por uso de medicamentos San José, Costa Rica. Noviemb...
Leer Artículo
Logo Clínica Bíblica Circular Clínica Bíblica 02/12/2014
Evite la gingivitis con buenos hábitos de limpieza dental
Vivi mas saludable

Preste atención a las heridas abiertas, podría contraer el tétano

Sólo un 20% de los casos mundiales de tétanos neonatal se da en los países desarrollados, la mayoría suceden en países de África y Asia No e...
Leer Artículo
Logo Clínica Bíblica Circular Clínica Bíblica 02/12/2014
Preste atención a las heridas abiertas, podría contraer el tétano
Vivi mas saludable

¡Mucho cuidado! La apendicitis se puede confundir con otros padecimientos

La apendicitis es más frecuente en niños y adultos, es raro en adultos mayores La única forma de tratamiento es por medio de cirugía San Jos...
Leer Artículo
Logo Clínica Bíblica Circular Clínica Bíblica 01/12/2014
¡Mucho cuidado! La apendicitis se puede confundir con otros padecimientos
Vivi mas saludable

El pie plano es una afección común en niños

La mayoría de las veces solo necesitan ejercicios, pero hay casos que necesitan un calzado especial o simplemente una plantilla San José, Co...
Leer Artículo
Logo Clínica Bíblica Circular Clínica Bíblica 01/12/2014
El pie plano es una afección común en niños
Vivi mas saludable

Otitis se presenta principalemente en menores de 7 años

Si una persona se enferma, sus oídos pueden verse afectados La otitis puede aparecer más de una vez en un mismo paciente. San José, Costa Ri...
Leer Artículo
Logo Clínica Bíblica Circular Clínica Bíblica 28/11/2014
Otitis se presenta principalemente en menores de 7 años
Vivi mas saludable

Hospital Clínica Bíblica digitaliza certificados de nacimiento

Desarrollo de plataforma permite agilizar el proceso San José, Costa Rica. Noviembre, 2014. El Hospital Clínica Bíblica, con la autorización...
Leer Artículo
Logo Clínica Bíblica Circular Clínica Bíblica 28/11/2014
Hospital Clínica Bíblica digitaliza certificados de nacimiento
Vivi mas saludable

La neumonía puede comprometer su vida, mejor acuda a su médico

Algunas neumonías severas pueden causar secuelas que ameriten control o tratamientos posteriores San José, Costa Rica. Noviembre, 2014. Una ...
Leer Artículo
Logo Clínica Bíblica Circular Clínica Bíblica 27/11/2014
La neumonía puede comprometer su vida, mejor acuda a su médico

Últimos blog publicados

Suscribite a nuestro

Newsletter

Circulo grande Circulo pequeño Linea punteada Ilustración artística de una persona sentada leyendo un libro en tonos azules.

Mostrando resultados para: guia-de-soluciones-de-salud

  • La sífilis es una enfermedad silenciosa que puede traer graves problemas
    03/12/2014
    La sífilis es una enfermedad silenciosa que puede traer graves problemas
    Es fácil de curar con el tratamiento adecuado San José, Costa Rica. Diciembre, 2014. La sífilis es una enfermedad de transmisión sexual que puede tene...
    Clínica Bíblica
    Publicado por Clínica Bíblica
  • Hospital Clínica Bíblica recomienda vacunación ante pico de casos de influenza
    02/12/2014
    Hospital Clínica Bíblica recomienda vacunación ante pico de casos de influenza
    Vacuna tendrá precio especial por tiempo limitado San José, Costa Rica. Noviembre, 2014. Con los cambios de temperatura, las consultas en urgencias po...
    Clínica Bíblica
    Publicado por Clínica Bíblica
  • Evite la gingivitis con buenos hábitos de limpieza dental
    02/12/2014
    Evite la gingivitis con buenos hábitos de limpieza dental
    Si nota sangrado en sus encías consulte a su doctor La segunda razón más importante es por uso de medicamentos San José, Costa Rica. Noviembre, 2014. ...
    Clínica Bíblica
    Publicado por Clínica Bíblica
  • Preste atención a las heridas abiertas, podría contraer el tétano
    01/12/2014
    Preste atención a las heridas abiertas, podría contraer el tétano
    Sólo un 20% de los casos mundiales de tétanos neonatal se da en los países desarrollados, la mayoría suceden en países de África y Asia No es contagio...
    Clínica Bíblica
    Publicado por Clínica Bíblica
  • ¡Mucho cuidado! La apendicitis se puede confundir con otros padecimientos
    01/12/2014
    ¡Mucho cuidado! La apendicitis se puede confundir con otros padecimientos
    La apendicitis es más frecuente en niños y adultos, es raro en adultos mayores La única forma de tratamiento es por medio de cirugía San José, Costa R...
    Clínica Bíblica
    Publicado por Clínica Bíblica
  • El pie plano es una afección común en niños
    01/12/2014
    El pie plano es una afección común en niños
    La mayoría de las veces solo necesitan ejercicios, pero hay casos que necesitan un calzado especial o simplemente una plantilla San José, Costa Rica. ...
    Clínica Bíblica
    Publicado por Clínica Bíblica
  • Otitis se presenta principalemente en menores de 7 años
    28/11/2014
    Otitis se presenta principalemente en menores de 7 años
    Si una persona se enferma, sus oídos pueden verse afectados La otitis puede aparecer más de una vez en un mismo paciente. San José, Costa Rica. Noviem...
    Clínica Bíblica
    Publicado por Clínica Bíblica
  • Hospital Clínica Bíblica digitaliza certificados de nacimiento
    28/11/2014
    Hospital Clínica Bíblica digitaliza certificados de nacimiento
    Desarrollo de plataforma permite agilizar el proceso San José, Costa Rica. Noviembre, 2014. El Hospital Clínica Bíblica, con la autorización del Regis...
    Clínica Bíblica
    Publicado por Clínica Bíblica
  • La neumonía puede comprometer su vida, mejor acuda a su médico
    27/11/2014
    La neumonía puede comprometer su vida, mejor acuda a su médico
    Algunas neumonías severas pueden causar secuelas que ameriten control o tratamientos posteriores San José, Costa Rica. Noviembre, 2014. Una neumonía p...
    Clínica Bíblica
    Publicado por Clínica Bíblica
whatsapp