<img height="1" width="1" style="display:none" src="https://www.facebook.com/tr?id=996698094425917&amp;ev=PageView&amp;noscript=1">
Diabetes

Me diagnosticaron prediabetes, ¿qué puedo hacer?

La diabetes es un trastorno del metabolismo de la glucosa caracterizado por hiperglicemia crónica (nivel de azúcar en sangre alto); esto qui...
Leer Artículo
Logo Clínica Bíblica Circular Clínica Bíblica 25/08/2025
Me diagnosticaron prediabetes, ¿qué puedo hacer?
Diabetes

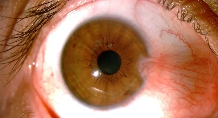
Pterigión, carnosidad o “catarata externa” una enfermedad curable si se trata

El Pterigión, carnosidad o “catarata externa”, es un crecimiento anormal, del tejido que recubre al ojo, llamado conjuntiva. Este crecimient...
Leer Artículo
Logo Clínica Bíblica Circular Clínica Bíblica 25/08/2025
Pterigión, carnosidad o “catarata externa” una enfermedad curable si se trata
Tratamiento

Consejos para el uso de medicamentos en diabetes e hipertensión

Es importante recordar que el manejo adecuado de su salud es esencial para llevar una vida plena y saludable. Esto es vital para todas las p...
Leer Artículo
Logo Clínica Bíblica Circular Clínica Bíblica 25/08/2025
Consejos para el uso de medicamentos en diabetes e hipertensión
Diabetes

Síntomas iniciales de la diabetes: ¿cómo reconocerlos y prevenir complicaciones?

Le queremos contar cuáles síntomas son una alarma para que usted acuda a un médico. Muchas personas viven con diabetes, y no lo saben.
Leer Artículo
Logo Clínica Bíblica Circular Clínica Bíblica 14/12/2023
Síntomas iniciales de la diabetes: ¿cómo reconocerlos y prevenir complicaciones?
Diabetes

¿Tiene diabetes y ve borroso? Podría ser retinopatía diabética

La retinopatía diabética se da cuando existe una complicación en la salud de una persona con diabetes, la cual afecta directamente los ojos.
Leer Artículo
Logo Clínica Bíblica Circular Clínica Bíblica 10/05/2023
¿Tiene diabetes y ve borroso? Podría ser retinopatía diabética
Alimentacion

Más de 500 mil personas mayores de 19 años viven con diabetes en Costa Rica

La última Encuesta de Factores de Riesgo Cardiovascular de la Caja Costarricense de Seguro Social del 2018, indica que más de medio millón d...
Leer Artículo
Logo Clínica Bíblica Circular Clínica Bíblica 14/11/2022
Más de 500 mil personas mayores de 19 años viven con diabetes en Costa Rica
Diabetes

Cuidados de la piel en personas diabéticos

La Dra. Laura Ulate, especialista en endocrinología nos explica los cuidados de la piel que deben de tener las personas diabéticas. Tips sob...
Leer Artículo
Logo Clínica Bíblica Circular Clínica Bíblica 22/04/2020
Cuidados de la piel en personas diabéticos
Diabetes

¿Vida normal con diabetes? Sí es posible

La diabetes no es sinónimo de muerte. Por el contrario, quien la padece puede llevar una vida completamente normal, claro está, si impleme...
Leer Artículo
Logo Clínica Bíblica Circular Clínica Bíblica 15/11/2016
¿Vida normal con diabetes? Sí es posible

Últimos blog publicados

Suscribite a nuestro

Newsletter

Circulo grande Circulo pequeño Linea punteada Ilustración artística de una persona sentada leyendo un libro en tonos azules.

Mostrando resultados para: diabetes

  • Me diagnosticaron prediabetes, ¿qué puedo hacer?
    24/08/2025
    Me diagnosticaron prediabetes, ¿qué puedo hacer?
    La diabetes es un trastorno del metabolismo de la glucosa caracterizado por hiperglicemia crónica (nivel de azúcar en sangre alto); esto quiere decir ...
    Clínica Bíblica
    Publicado por Clínica Bíblica
  • Pterigión, carnosidad o “catarata externa” una enfermedad curable si se trata
    24/08/2025
    Pterigión, carnosidad o “catarata externa” una enfermedad curable si se trata
    El Pterigión, carnosidad o “catarata externa”, es un crecimiento anormal, del tejido que recubre al ojo, llamado conjuntiva. Este crecimiento suele pr...
    Clínica Bíblica
    Publicado por Clínica Bíblica
  • Consejos para el uso de medicamentos en diabetes e hipertensión
    24/08/2025
    Consejos para el uso de medicamentos en diabetes e hipertensión
    Es importante recordar que el manejo adecuado de su salud es esencial para llevar una vida plena y saludable. Esto es vital para todas las personas, p...
    Clínica Bíblica
    Publicado por Clínica Bíblica
  • Síntomas iniciales de la diabetes: ¿cómo reconocerlos y prevenir complicaciones?
    14/12/2023
    Síntomas iniciales de la diabetes: ¿cómo reconocerlos y prevenir complicaciones?
    Le queremos contar cuáles síntomas son una alarma para que usted acuda a un médico. Muchas personas viven con diabetes, y no lo saben.
    Clínica Bíblica
    Publicado por Clínica Bíblica
  • ¿Tiene diabetes y ve borroso? Podría ser retinopatía diabética
    10/05/2023
    ¿Tiene diabetes y ve borroso? Podría ser retinopatía diabética
    La retinopatía diabética se da cuando existe una complicación en la salud de una persona con diabetes, la cual afecta directamente los ojos.
    Clínica Bíblica
    Publicado por Clínica Bíblica
  • Más de 500 mil personas mayores de 19 años viven con diabetes en Costa Rica
    14/11/2022
    Más de 500 mil personas mayores de 19 años viven con diabetes en Costa Rica
    La última Encuesta de Factores de Riesgo Cardiovascular de la Caja Costarricense de Seguro Social del 2018, indica que más de medio millón de personas...
    Clínica Bíblica
    Publicado por Clínica Bíblica
  • ¿Cómo afecta el COVID-19 a los diabéticos?
    24/04/2020
    ¿Cómo afecta el COVID-19 a los diabéticos?
    San José, Costa Rica. Abril 2020.
    Clínica Bíblica
    Publicado por Clínica Bíblica
  • Cuidados de la piel en personas diabéticos
    22/04/2020
    Cuidados de la piel en personas diabéticos
    La Dra. Laura Ulate, especialista en endocrinología nos explica los cuidados de la piel que deben de tener las personas diabéticas. Tips sobre una bue...
    Clínica Bíblica
    Publicado por Clínica Bíblica
  • ¿Vida normal con diabetes? Sí es posible
    15/11/2016
    ¿Vida normal con diabetes? Sí es posible
    La diabetes no es sinónimo de muerte. Por el contrario, quien la padece puede llevar una vida completamente normal, claro está, si implementa hábit...
    Clínica Bíblica
    Publicado por Clínica Bíblica
whatsapp